我的位置:名著阅读 > 变态心理学 > 2.1.4 遗传学

2.1.4 遗传学

有关脑结构和脑功能的研究增进了人们关于脑和心理疾病之间关系的理解。然而,只是知道脑活动发生了变化仍不足以解释变态行为为何产生。科学家仍然要解释脑部异常是怎样以及为何发生。将遗传学用于行为的研究给变态心理学的研究带来了革新。现在遗传因素的研究从细胞水平发展到总体水平。行为遗传学的方法包括家族研究、双生子研究和收养研究,从而在揭示特定行为特质或心理疾病的家族性以及这种家族性在多大程度上归因于遗传或环境等方面发挥着关键作用。遗传学中的现代分子技术和检测遗传关系的新方法,使科学家能够揭示与多种复杂特质相关的基因位点(在特定染色体上的特定位置)。现在人们知道行为特质和心理疾病几乎不可能由单一基因引起。所谓复杂性状,比如多数行为特质和心理疾病,会受到许多基因和环境因素的中小程度的影响。

遗传学基础

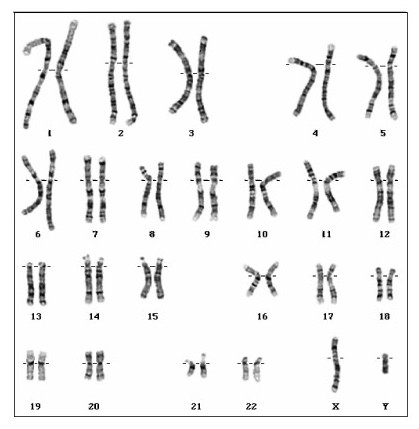
高中生物课上的“搭建生命的积木”就指的是脱氧核糖核酸(deoxyribonucleic acid,DNA)。人体中DNA的集合就称为人类基因组,包含近20000~25000个基因。每个基因都是DNA的一个片段,它们集合起来就形成一个独特的有机体。人体包含23对染色体,其中22对常染色体,1对性染色体(女性是XX,男性是XY,见图2-7)。

图 2-7 人类的染色体 正常人有46个染色体:一半来自父亲,一半来自母亲。性别由X和Y染色体决定;男性是XY,女性是XX。

母亲提供这对性染色体中的X,如果父亲提供的也是X,那么后代就是女孩,如果父亲提供的是Y,那么后代就是男孩。基因能以多种形式存在,称为等位基因。正是这些特定的等位基因产生了物种的变异(比如高度、毛发颜色、眼睛颜色、人格和患病风险)。

遗传符合几个定律。格雷戈尔·孟德尔(Gregor Mendel,1822—1884),捷克的一个修道士,通过种植豌豆,发现了两个遗传定律。尽管孟德尔建立了我们理解遗传学的基础,但费希尔(R.A.Fisher)提出孟德尔的报告不合常理。费希尔1936年发表了一个报告,认为孟德尔的数据过于完美,有造假的嫌疑(Fisher,1936)。后来许多人不断去重新讨论孟德尔的报告。但是,在理解遗传的基本原则时,先理解孟德尔的遗传定律仍是重要的第一步。分离定律认为个体从双亲中各自接受两个性状的其中之一。其中一个性状是显性的(在后代中表现出来的性状),另一个是隐性的(在遗传中存在,但在后代中没有表现出来)。如果后代从父母那里各遗传一个隐性性状,也即如果后代具有两个隐性性状,那么隐性性状就会表现出来。比如眼睛颜色,棕色是显性的而蓝色是隐性的,因此,只有拥有两个隐性性状才会有蓝色的眼睛。

孟德尔第二定律——自由组合定律,即一个基因的等位基因(变种)与另一些基因的等位基因(变种)自由组合。例如身高和眼睛颜色的等位基因通常不一起作用,不是每个矮个的人都是蓝色的眼睛,矮个的人也会是棕色或浅棕色眼睛。同样,蓝眼睛的人可能是矮个,也可能是中等个头或高个。总之,身高和眼睛颜色的基因进行自由组合。

尽管基因对身高、眼睛颜色和多种疾病的影响已经早为人知,但最近行为遗传学研究的是遗传对人格、态度以及诸如抑郁、外向和精神分裂症等异常行为方面的影响。在过去的10年,人类基因组项目已经大大扩展了孟德尔从豌豆研究中获得的遗传学知识。人们已经清楚人类基因组包含20000~25000个基因。人们现在认识到以前被称为“垃圾DNA”或“基因沙漠”的部位(因为人们在那里没有发现具体的基因)也对许多特质的表达有重要作用。

在这样一个广阔的天地下,如何开展关于基因会增加某种特定心理疾病形成的风险的研究呢?行为遗传学的方法是检验家族成员间生理和行为的相似性,这种相似性说明基因在家族相似性方面发挥的作用。更直接的遗传学方法包括三个常用的方法:全基因组连锁分析、候选基因关联研究和全基因组关联研究。首先我们来了解一下行为遗传学。